RadBudd Logo

Practice Image Matching in Radiotherapy

Anatomy icon Anatomy
Oncology icon Oncology
Physics icon Physics
Dosimetry Planning icon Dosimetry Planning
Patient Care icon Patient Care
Biology icon Patient Safety
RadBudd Image Matching

Image Matching

Practice with a growing library of real-world image matching cases and get feedback in real time. Line up anatomy, nudge the couch, and get instant feedback on whether you’re within training tolerances.

  • New cases added every week
  • Get Instant Feedback
  • Built around real radiotherapy image matching scenarios
  • Perfect for VIVA, OSCE, and clinical placement prep
Try now!
A
B
C
D

8,700+ Radiotherapy Questions

Practise from a growing bank of more than 8,700 radiotherapy questions across anatomy, oncology, planning, patient care, physics, and more.

  • Exam-style MCQs matched to real university exams
  • Choose your difficulty from foundation basics to tricky!
  • Save Questions so you can revisit them
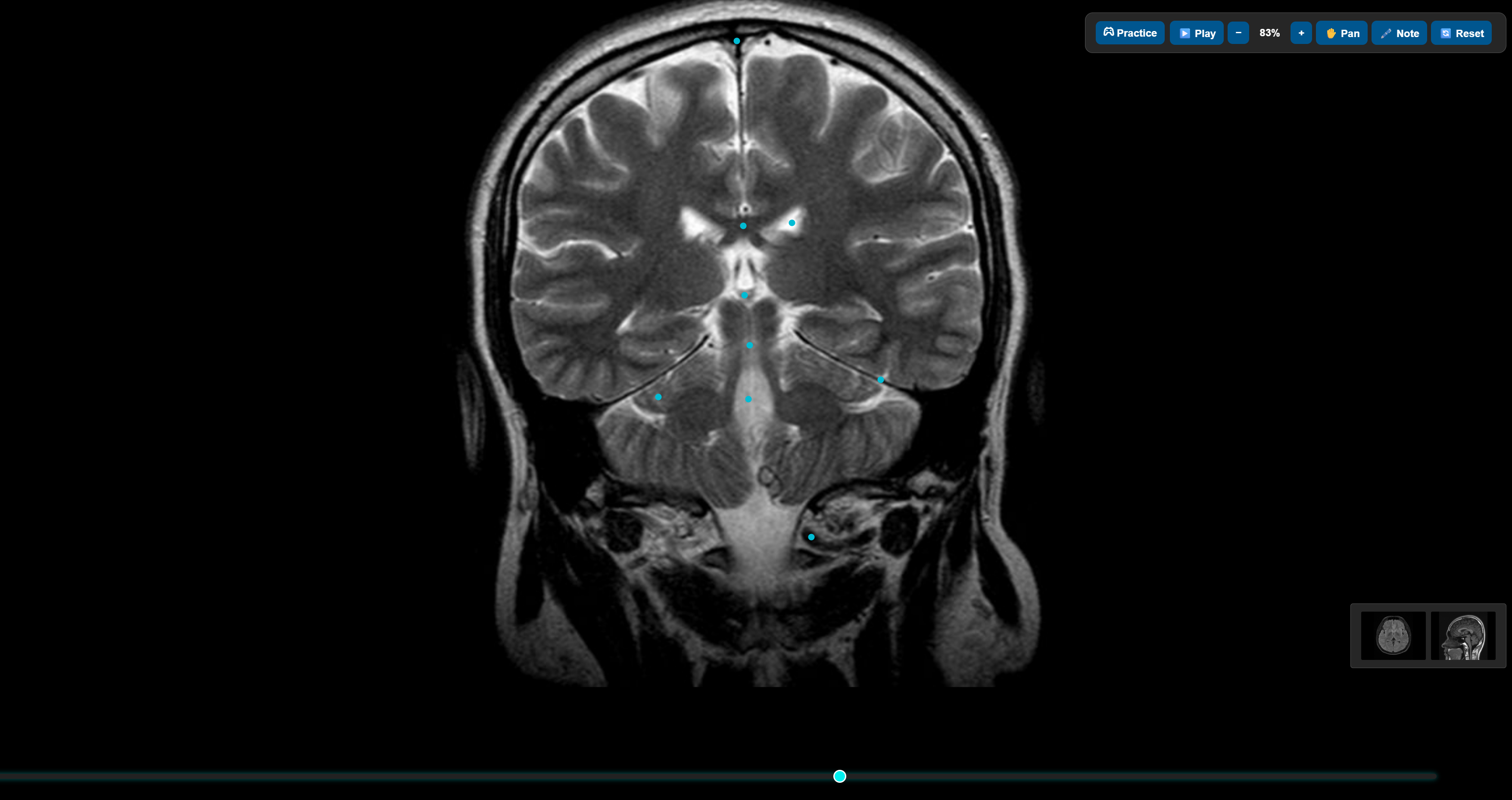
CT anatomy practice X-ray anatomy practice MRI anatomy practice

Medical Imaging

Practise anatomy directly on CT scans, X-rays, and MRI.

  • Labelled cross-sectional anatomy on CT, X-ray, and MRI.
  • Perfect for building confidence before clinical placement.
RadBudd for Universities classroom tools

RadBudd for Universities

We build image matching activities specifically for universities, helping support classroom teaching, guided sessions, homework, and OSCE/VIVA preparation.

Learn more

Made for future Therapeutic Radiographers

Built by Senior Therapeutic Radiographers and Students, RadBudd is designed to make you exam ready !

About us

Don’t be shy, join our online community!

Learning new topics everyday on TikTok!

Daniel - 2nd year student

I never really get to image match during placement, so RadBudd has been so useful for practice.

Mohammed - 3rd year student

It’s so hard to find radiotherapy content online. Let alone practice image matching! This is good!

Hailey - 2nd year student

I found myself using it during placement too, to check I was doing my image matches right. It’s like having a little radiographer in your pocket.